HNP (hernia del núcleo pulposo)
Dolor de espalda, radicular, ciática déficit neurológico asociado a compresión de raíz.
Dr. Camilo Salinas
Neurocirujano
Evaluación integral de tu patología para llegar a un diagnóstico preciso y de esa forma plantear el mejor manejo, sea médico, quirúrgico o mixto con la mejor recuperación posible
Camilo Salinas Muñoz
Neurocirujano
En cada caso se busca un plan diagnóstico y terapéutico claro, explicando riesgos y beneficios de las distintas alternativas de tratamiento.
Dolor de espalda, radicular, ciática déficit neurológico asociado a compresión de raíz.
Adormecimiento y dolor en mano, evaluación electrofisiológica y descompresión cuando está indicada.
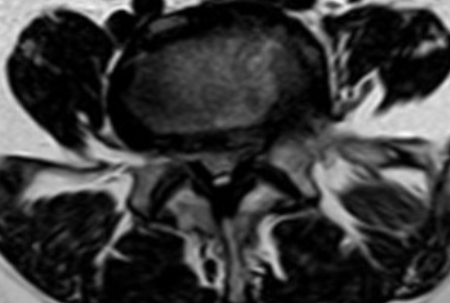
Estenosis lumbar o cervical, claudicación neurógena y planificación de descompresión dirigida.
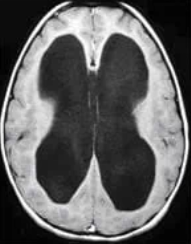
Estudio etiológico, manejo valvular y seguimiento clínico-radiológico a largo plazo.
Manejo médico y/o quirúrgico de hematoma subdural, hematoma extradural, hemorragia subaracnoídea traumática, etc, así como el seguimiento posterior.
Hormigueo en cuarto y quinto dedo, estudio de conducción y descompresión selectiva.
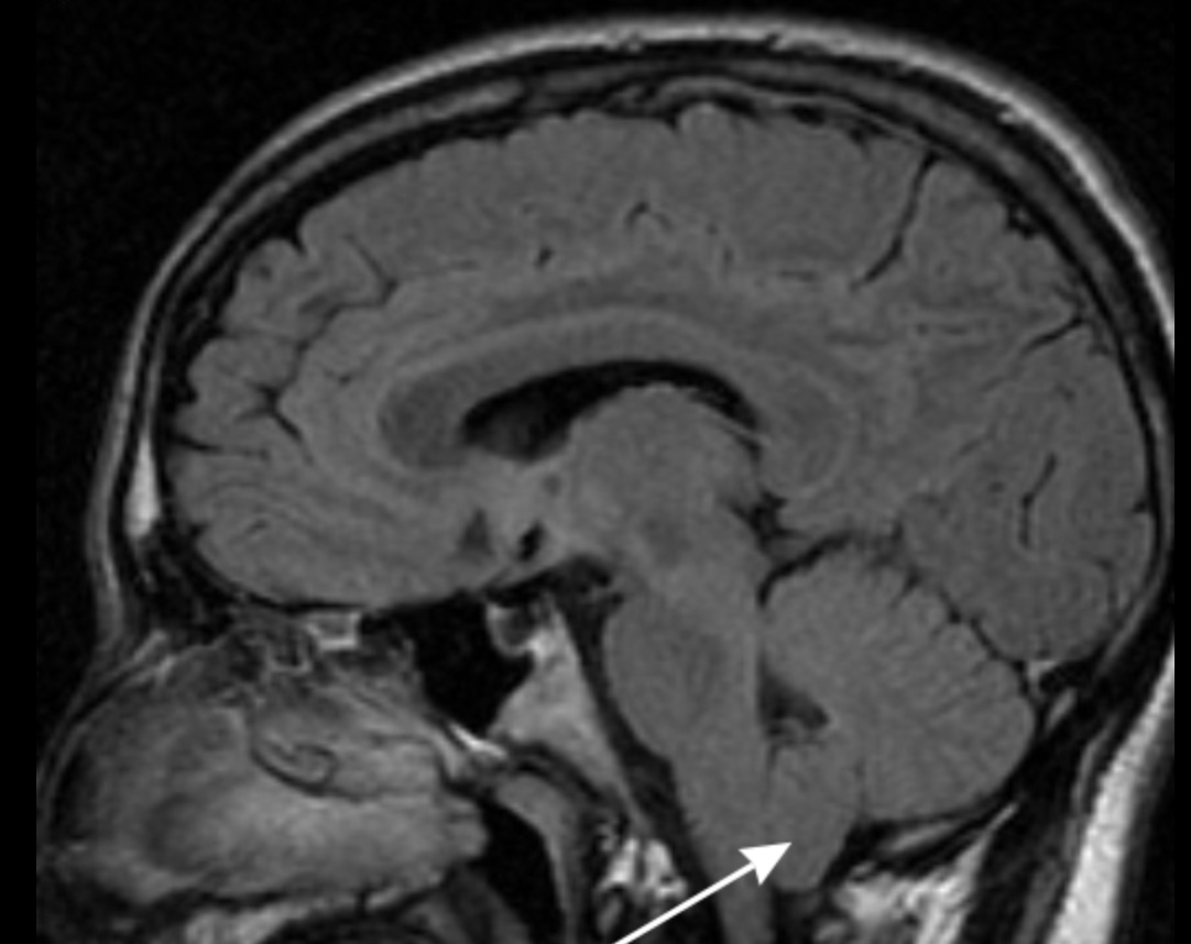
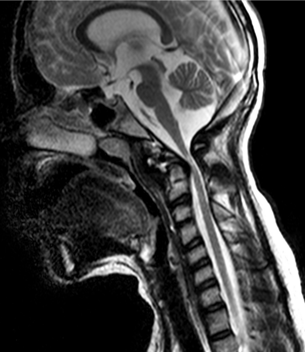
Evaluación de compresión cervicomedular y decisión de descompresión posterior.
Correlación clínico-radiológica y decisión de descompresión según síntomas y hallazgos.
Reparación del defecto óseo craneal por medio de una nueva cirugía, utilizado hueso propio o prótesis, devolviendo la protección al encéfalo y reparando el defecto estético asociado.
Manejo médico y qurúrgico de múltiples patologías neuroquirúrgicas (cerebro y columna)
Neurocirujano formado en la Universidad de Santiago de Chile (USACH), con especial cercanía a la patología de columna y al neurotrauma. Enfoque centrado en el bienestar integral del paciente, combinando criterios clínicos, neuroimagen y práctica basada en evidencia.
En esa linea realicé una estadía de perfeccionamiento de 2 meses en la unidad de raquis del Hospital clinic de Barcelona y actualmente me encuentro cursando una nueva estadía de perfeccionamiento de un año en la unidad de columna del Hospital Dr. Sótero del Río
Una evaluación ordenada puede aclarar el diagnóstico y las opciones de manejo.
Puedes dejar tus datos de contacto y el motivo de consulta. Te contactaremos para coordinar fecha y horario.